
323
views
views
Cryptococcosis Treatment Market
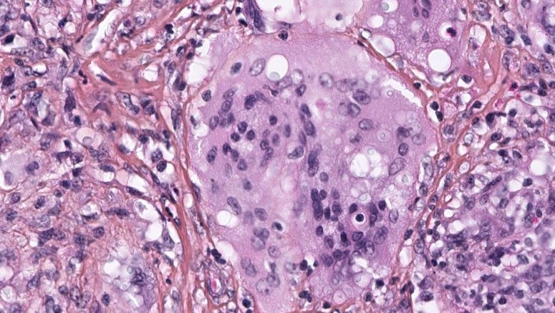
Cryptococcosis is a major opportunistic infection and a leading cause of meningitis in HIV patients. The antifungal pharmacological treatment options are limited to amphotericin B, fluconazole, and 5-flucytosine.
A patient who tests positive for Cryptococcosis Treatment antigen can take fluconazole, an antifungal medication, to fight the silent fungal infection and keep it from progressing to life-threatening meningitis.
Oral fluconazole is the first-line treatment for asymptomatic and mild-moderate disease without involvement of the central nervous system (CNS). In the case of severe disease and CNS involvement, amphotericin-B plus flucytosine induction therapy is recommended, followed by fluconazole consolidation therapy.
Comments
0 comment