
views
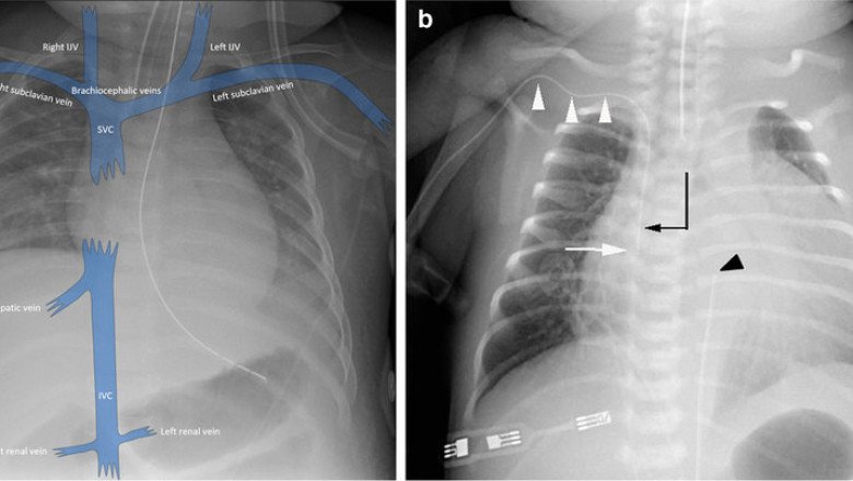
A Central Venous Catheter (CVC) is a medical device that is used to deliver medications, nutrition, fluids, or blood products directly into the bloodstream. It is inserted into a large vein in the chest or neck, and it is commonly used in critically ill patients who require long-term intravenous therapy or who have poor peripheral venous access. While CVCs are associated with some risks and complications, they are generally considered safe and effective when used appropriately by trained healthcare professionals.
Werner Frossman, a German physician, initially conducted central venous catheterization in 1929 by inserting a ureteric catheter into his antecubital vein. The catheter was subsequently inserted into his right ventricle using fluoroscopy, thus he proceeded to walk to the radiography department. Central Venous Catheter access has since evolved into a cornerstone of contemporary clinical treatment. Patients with these catheters will be encountered by clinicians from the majority of medical specialties. More than 15% of patients may experience a catheter-related problem despite the advantages central venous lines have for patients and doctors.
Read More- https://cmiblogdailydose.blogspot.com/2023/03/central-venous-catheter-is-long-thin.html
Comments
0 comment